Thứ bảy 02/05/2026 08:39

Dị dạng mạch máu não – Kẻ giết người thầm lặng

Hiện nay, nhiều bệnh nhân ở tuổi còn rất trẻ bị tử vong hoặc để lại di chứng nặng nề khi chỉ xuất hiện một số cơn đau đầu, đột ngột nói khó, giảm thị lực, tê hoặc yếu tay chân… Triệu chứng tưởng như bị đột quỵ, nhưng nguyên nhân lại là do dị dạng mạch máu não.
Số ca đột quỵ tăng vọt tại Quảng Nam trong mùa lạnh

Đau đầu dữ dội, bệnh nhi 15 tuổi tử vong vì nguyên nhân không thể ngờ

Thông tin từ Bệnh viện Bạch Mai cho biết, gần đây Trung tâm Đột quỵ, Bệnh viện Bạch Mai đã tiếp nhận nhiều bệnh nhân ở tuổi còn rất trẻ, trong tình trạng nguy kịch chỉ với triệu chứng đau đầu đột ngột.

Dị dạng mạch máu não – Kẻ giết người thầm lặng
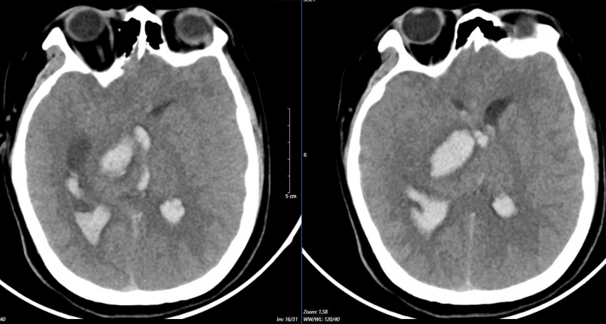
Hình ảnh chụp phim MSCT mạch não chảy máu não đồi thị - não thất do vỡ khối AVM (dị dạng thông động- tĩnh mạch não) bệnh nhân 15 tuổi. (Ảnh: BVBM CC)

Cụ thể, một bệnh nhân 15 tuổi đến viện vì đột ngột đau đầu dữ dội. Bệnh nhân nhanh chóng rơi vào tình trạng hôn mê. Bệnh viện tuyến dưới tiếp nhận chẩn đoán bệnh nhi bị chảy máu não, lập tức được đặt ống nội khí quản thở máy và nhanh chóng chuyển ngay đến Bệnh viện Bạch Mai.

Theo đó, bệnh nhân khi vào Trung tâm Đột quỵ, Bệnh viện Bạch Mai trong tình trạng ý thức hôn mê sâu, Glasgow 5 điểm, thở máy, giãn đồng tử bên phải. Kết quả chụp lại phim MSCT mạch não cho thấy chảy máu não đồi thị - não thất do vỡ khối AVM (dị dạng thông động - tĩnh mạch não), biến chứng giãn não thất cấp, rối loạn thân nhiệt, sốt cao liên tục 39 - 40 độ C. Khối dị dạng mạch não tuy không quá lớn nhưng ở vị trí cực kỳ nguy hiểm.

Mặc dù đã được hồi sức tích cực tại Trung tâm Đột quỵ, nhưng tình trạng diễn biến nhanh, bệnh nhân tụt huyết áp, thiểu niệu, rối loạn thân nhiệt, hôn mê sâu Glasgow 3 điểm. Sau 2 ngày điều trị, khi được bác sĩ giải thích không còn khả năng cứu chữa, gia đình đưa bệnh nhi về và bệnh nhi đã tử vong sau đó.

Dị dạng mạch máu não – Kẻ giết người thầm lặng
Hình ảnh chụp MSCT mạch não: Chảy máu não thuỳ đỉnh phải, chảy máu não thất do vỡ AVM ( điểm Spetzler Martin 2 điểm) của bệnh nhân. (Ảnh: BVBM CC)

Bệnh viện Bạch Mai cũng cho biết, mới đây tiếp nhận thêm một bệnh nhân 19 tuổi trong tình trạng co giật, hôn mê sâu, Glasgow 6 điểm, thở máy qua ống nội khí quản, liệt tứ chi. Qua khai thác tiền sử, trước đó, bệnh nhân chưa phát hiện bệnh lý gì.

Theo các bác sĩ tại Trung tâm Đột quỵ, kết quả chụp phim MSCT mạch não: Hình ảnh chảy máu não thùy đỉnh chẩm bên trái và não thất - phù não lan tỏa do vỡ ổ dị dạng AVM thuỳ đỉnh chẩm trái (điểm Spetzler-Martin 3 điểm). Sau đó, bệnh nhân đã được phẫu thuật hút khối máu tụ và lấy ổ dị dạng mạch não. Hiện tại, bệnh nhân vẫn đang điều trị tích cực tại khoa Hồi sức Ngoại, tiên lượng khả năng hồi phục hạn chế.

Dấu hiệu nhận biết bệnh rất mờ nhạt, người bệnh cần cẩn trọng

Bác sĩ Lê Tuấn Anh, Trung tâm Đột quỵ, Bệnh viện Bạch Mai cho biết: Dị dạng thông động tĩnh mạch não (AVMs - Arteriovenous malformations) là một dị tật phát triển của hệ thống mạch máu, trong đó các động mạch nuôi được kết nối trực tiếp với mạng lưới tĩnh mạch dẫn lưu mà không qua hệ thống mao mạch. Trong khối dị dạng, thành động mạch thường mỏng hơn, tĩnh mạch giãn rộng do lưu lượng máu cao, không được điều tiết, nguy cơ có thể vỡ bất cứ lúc nào, gây chảy máu não, tăng áp lực nội sọ, co giật, suy giảm ý thức, thậm chí tử vong nhanh chóng. Chính bởi vậy, dị dạng mạch máu não rất nguy hiểm, lại thường xảy ra ở người trẻ tuổi, không có sự khác biệt về giới tính.

BS Tuấn Anh cũng cho biết thêm, thông thường, bệnh chỉ được phát hiện khi dị dạng mạch vỡ thì sự đã rồi. Đôi khi, người bệnh được phát hiện sớm vì tình cờ đi chụp chiếu kiểm tra.

Về dấu hiệu nhận biết, bác sĩ Tuấn Anh cho hay: Nếu dị dạng mạch não chưa vỡ, tùy vị trí của khối dị dạng có thể xuất hiện một số triệu chứng không đặc hiệu như: đau đầu, chóng mặt, tê bì yếu tay chân hoặc động kinh. Nếu dị dạng mạch não vỡ, các triệu chứng có thể từ nhẹ đến nặng, phụ thuộc vào bản thân khối dị dạng và thể tích máu tụ, từ đau đầu, buồn nôn, nôn vọt, liệt nửa người, lú lẫn đến hôn mê sâu, thậm chí tử vong nhanh chóng do tụt kẹt não.

Tỷ lệ tử vong khi vỡ AVM ước chừng 10-15%, khoảng 50% số bệnh nhân sẽ để lại di chứng về sau. Vì vậy, để phòng ngừa, bác sĩ Tuấn Anh khuyến cáo nên đi kiểm tra khi có một hoặc các dấu hiệu: Đau đầu, chóng mặt, tê bì hoặc liệt nửa người, co giật. Các trường hợp nặng, rối loạn ý thức đột ngột nên đến viện ngay lập tức.

Bệnh đậu mùa khỉ nguy hiểm như thế nào? Bệnh đậu mùa khỉ nguy hiểm như thế nào?

Trước những nguy hiểm của bệnh đậu mùa khỉ, Bộ Y tế đã có hướng dẫn và khuyến cáo người dân nhận biết các triệu ...

VNVC triển khai tiêm đầu tiên vắc xin sốt xuất huyết cho trẻ từ 4 tuổi và người lớn VNVC triển khai tiêm đầu tiên vắc xin sốt xuất huyết cho trẻ từ 4 tuổi và người lớn

Ngày 20/9/2024, gần 200 trung tâm trong hệ thống tiêm chủng VNVC đã chính thức triển khai tiêm vắc xin sốt xuất huyết của Takeda, ...

Cảnh báo: Bé trai 7 tuổi tử vong do hóc đầu bút bi - Phụ huynh cần học ngay cách sơ cứu đúng cách Cảnh báo: Bé trai 7 tuổi tử vong do hóc đầu bút bi - Phụ huynh cần học ngay cách sơ cứu đúng cách

Gần đây, một sự việc thương tâm đã xảy ra khi một bé trai 7 tuổi tử vong do hóc đầu bút bi. Các bác ...

Tin cùng chuyên mục

Nguy cơ bùng phát nhiều dịch bệnh mùa Thu - Đông, cần đặt ý thức phòng ngừa lên hàng đầu

Khỏe – Đẹp

Nguy cơ bùng phát nhiều dịch bệnh mùa Thu - Đông, cần đặt ý thức phòng ngừa lên hàng đầu

Trước những thay đổi của thời tiết khi chuyển mùa, Cục Phòng bệnh (Bộ Y tế) đã cảnh báo về nguy cơ bùng phát nhiều dịch bệnh truyền nhiễm nguy hiểm trong giai đoạn Thu - Đông.

Lần đầu tiên ứng dụng máy bảo quản LifePort trong ghép thận, dấu mốc mới của ngành Y

Sống an toàn

Lần đầu tiên ứng dụng máy bảo quản LifePort trong ghép thận, dấu mốc mới của ngành Y

Bệnh viện Trung ương Huế (thuộc Bộ Y tế) ghi dấu mốc mới trong lịch sử y học Việt Nam khi thực hiện thành công ca ghép thận đầu tiên trong nước sử dụng công nghệ bảo quản thận liên tục có hạ nhiệt – LifePort Hypothermic Machine Perfusion (HMP).

Bệnh dại có xu hướng tăng, WHO hỗ trợ khẩn 9.000 liều vaccine cho 2 tỉnh nguy cơ cao tại Việt Nam

Sống an toàn

Bệnh dại có xu hướng tăng, WHO hỗ trợ khẩn 9.000 liều vaccine cho 2 tỉnh nguy cơ cao tại Việt Nam

Tổ chức Y tế Thế giới (WHO) vừa trao tặng 9.000 liều vaccine phòng dại cho 2 tỉnh có nguy cơ cao là Phú Thọ và Tuyên Quang. Gói hỗ trợ này hướng đến bảo vệ các nhóm yếu thế như trẻ em và đồng bào dân tộc thiểu số.

Rửa tay - Một hành động đơn giản giúp phòng ngừa những đe dọa lớn

Khỏe – Đẹp

Rửa tay - Một hành động đơn giản giúp phòng ngừa những đe dọa lớn

Ngày Rửa tay Thế giới nhắc chúng ta rằng một hành động đơn giản - rửa tay bằng xà phòng - có thể cứu sống, bảo vệ trẻ em và củng cố cộng đồng.

"Chìa khóa vàng" cho sức khỏe phụ nữ trung niên

Khỏe – Đẹp

"Chìa khóa vàng" cho sức khỏe phụ nữ trung niên

“Thay đổi lối sống để hỗ trợ hành trình mãn kinh của bạn” là chủ đề của Ngày Mãn kinh Thế giới năm 2025.

Đọc thêm

Nhức nhối mang thai ở tuổi vị thành niên

Sống an toàn

Nhức nhối mang thai ở tuổi vị thành niên

Hiện nay, mang thai ở tuổi vị thành niên vẫn là một bài toán nhức nhối tại Việt Nam, gây hệ lụy cho sức khỏe cá nhân và cản trở sự phát triển bền vững. Nhân Ngày Tránh thai Thế giới 26/9, việc trao quyền lựa chọn cho người trẻ được nhấn mạnh như một giải pháp then chốt để các em có thể tự quyết định con đường tương lai của mình.

Tổng đài quốc gia 111: Lá chắn mới trong cuộc chiến chống mua bán người

An sinh - Xã hội

Tổng đài quốc gia 111: Lá chắn mới trong cuộc chiến chống mua bán người

Tổng đài điện thoại quốc gia về phòng, chống mua bán người với đầu số 111 vừa chính thức được khai trương. Đây là bước tiến quan trọng, khẳng định quyết tâm của Việt Nam trong việc bảo vệ con người, đồng thời mở ra một kênh hỗ trợ toàn diện, miễn phí và hoạt động 24/7 cho các nạn nhân.

Báo động đái tháo đường thai kỳ: Cứ 5 thai phụ có 1 người mắc, nguy cơ di truyền sang thế hệ sau

Sống an toàn

Báo động đái tháo đường thai kỳ: Cứ 5 thai phụ có 1 người mắc, nguy cơ di truyền sang thế hệ sau

Với thực trạng đáng báo động cứ 5 thai phụ tại Việt Nam có 1 người mắc bệnh, đái tháo đường thai kỳ không chỉ là mối đe dọa sức khỏe trước mắt mà còn tạo ra một vòng lặp nguy cơ di truyền sang các thế hệ tương lai. Trước tình hình này, Bộ Y tế đã ban hành “Hướng dẫn quốc gia về sàng lọc và quản lý đái tháo đường thai kỳ”.

Ghép tủy đồng loại cho trẻ từ mẹ ruột có bất đồng nhóm máu lần đầu tại Việt Nam

Khỏe – Đẹp

Ghép tủy đồng loại cho trẻ từ mẹ ruột có bất đồng nhóm máu lần đầu tại Việt Nam

Bệnh viện Trung ương Huế vừa công bố ca ghép tủy Thalassemia thứ 11 thành công. Đây là lần đầu tiên ở Việt Nam thực hiện ca ghép tủy đồng loại với nguồn tủy từ mẹ ruột, có bất đồng nhóm máu.

Bộ Y tế cảnh báo: Bệnh tả bùng phát phức tạp trên toàn cầu, tỷ lệ tử vong tăng 46%

Khỏe – Đẹp

Bộ Y tế cảnh báo: Bệnh tả bùng phát phức tạp trên toàn cầu, tỷ lệ tử vong tăng 46%

Dù Việt Nam đã duy trì thành công 12 năm không ghi nhận ca bệnh tả, nhưng trước diễn biến dịch bệnh ngày càng phức tạp trên thế giới với số ca tử vong tăng vọt, Bộ Y tế đã đưa ra cảnh báo về nguy cơ bệnh xâm nhập và nhấn mạnh tầm quan trọng của các biện pháp phòng ngừa chủ động trong cộng đồng.

Cứu sống bé 2 tuổi ngưng tim do đuối nước, làm gì để phòng đuối nước cho trẻ?

Khỏe – Đẹp

Cứu sống bé 2 tuổi ngưng tim do đuối nước, làm gì để phòng đuối nước cho trẻ?

Sau khi tiếp nhận bệnh nhi 2 tuổi bị tai nạn đuối nước ngưng tim tại nhà, các bác sĩ đặt nội khí quản, thở máy, sử dụng kháng sinh, vận mạch, đặc biệt áp dụng kỹ thuật hạ thân nhiệt chỉ huy giúp trẻ hồi sinh kỳ diệu.

Việt Nam đạt tỷ lệ bao phủ vắc xin cao hơn mức trung bình toàn cầu

Khỏe – Đẹp

Việt Nam đạt tỷ lệ bao phủ vắc xin cao hơn mức trung bình toàn cầu

Việt Nam đã đạt được nhiều tiến bộ đáng kể trong công tác bảo vệ trẻ em khỏi các bệnh phòng ngừa được bằng vắc xin, theo số liệu ước tính mới nhất về tỷ lệ tiêm chủng toàn quốc của Tổ chức Y tế Thế giới (WHO) và UNICEF (WUENIC) công bố mới đây.

Dịch tả lợn châu Phi bùng phát ở Quảng Trị, cách chọn thịt lợn an toàn

Khỏe – Đẹp

Dịch tả lợn châu Phi bùng phát ở Quảng Trị, cách chọn thịt lợn an toàn

Dịch tả lợn châu Phi đã bùng phát tại 11 xã ở tỉnh Quảng Trị, buộc tiêu hủy hơn 1.750 con lợn và có nguy cơ lan rộng hơn. Đây cũng là nỗi ám ảnh cho người tiêu dùng, vậy dấu hiệu nhận biết thịt lợn bệnh như thế nào?

Tự tiêm thuốc giảm đau, người đàn ông bị liệt tứ chi, suy hô hấp

Khỏe – Đẹp

Tự tiêm thuốc giảm đau, người đàn ông bị liệt tứ chi, suy hô hấp

Bị đau mỏi cổ - vai gáy, ông Đ.Đ.B, 70 tuổi (Quảng Ninh) tự tiêm thuốc giảm đau tại một phòng khám tư nhân. Sau tiêm, tình trạng không cải thiện mà ngày càng nặng: yếu chi, mất cảm giác, khó thở rồi liệt hoàn toàn từ cổ trở xuống, buộc phải chuyển tuyến khẩn cấp.

Ngăn chặn sốt xuất huyết bùng phát: Mỗi người dân là một mắt xích phòng dịch

Khỏe – Đẹp

Ngăn chặn sốt xuất huyết bùng phát: Mỗi người dân là một mắt xích phòng dịch

Dù số ca mắc sốt xuất huyết từ đầu năm 2025 (hơn 32.000 ca) hiện thấp hơn cùng kỳ, các chuyên gia cảnh báo không thể chủ quan. Nguy cơ một đợt dịch bùng phát vẫn rất cao, do chu kỳ dịch đang đến gần và thời tiết hiện tại rất thuận lợi cho muỗi truyền bệnh sinh sôi.

"Bom" xe điện mùa nắng nóng: Chuyên gia cảnh báo rủi ro và cách phòng tránh

Sống an toàn

"Bom" xe điện mùa nắng nóng: Chuyên gia cảnh báo rủi ro và cách phòng tránh

Mùa hè đến, "bom" xe điện tiềm ẩn nguy cơ bùng nổ, đặc biệt trong điều kiện nắng nóng khắc nghiệt. Thực tế, mới đây đã có nhiều vụ cháy nổ xe điện xảy ra cả trong nhà và ngoài trời, đã khiến người dân rất hoang mang và lo sợ. Vì vậy, việc sử dụng xe điện thế nào cho an toàn luôn là điều mà nhiều bậc phụ huynh cũng rất quan tâm.

Mỗi tháng cho trẻ bú mẹ hoàn toàn: Lợi ích tương đương trồng 300.000 cây xanh

An sinh - Xã hội

Mỗi tháng cho trẻ bú mẹ hoàn toàn: Lợi ích tương đương trồng 300.000 cây xanh

Cục Bà mẹ và trẻ em (Bộ Y tế) vừa có công văn hướng dẫn triển khai Tuần lễ thế giới Nuôi con bằng sữa mẹ năm 2025. Năm nay, sự kiện mang đến một thông điệp đột phá: lựa chọn nuôi con bằng sữa mẹ không chỉ là nền tảng sức khỏe cho thế hệ tương lai mà còn là một hành động có sức ảnh hưởng lớn đến môi trường, tương đương với việc trồng cả một cánh rừng.

Kê đơn thuốc dài ngày cần cá thể hóa, không máy móc

Khỏe – Đẹp

Kê đơn thuốc dài ngày cần cá thể hóa, không máy móc

Thông tư 26/2025/TT-BYT do Bộ Y tế ban hành quy định chi tiết việc kê đơn thuốc điều trị ngoại trú đối với người có thẻ bảo hiểm y tế. Những điểm mới như cho phép kê đơn tối đa 90 ngày, đơn thuốc chỉ có giá trị 5 ngày tại nhà thuốc ngoài bệnh viện, hay cơ chế thống nhất đơn khi khám nhiều chuyên khoa… đang đặt ra yêu cầu mới cho cả bác sĩ và người bệnh.

Năm điều cần nghiêm túc thực hiện khi sử dụng thuốc kê đơn 90 ngày

Khỏe – Đẹp

Năm điều cần nghiêm túc thực hiện khi sử dụng thuốc kê đơn 90 ngày

Thông tư 26/2025/TT-BYT do Bộ Y tế ban hành ngày 30/6/2025 quy định chi tiết việc kê đơn thuốc điều trị ngoại trú đối với người có thẻ bảo hiểm y tế đã chính thức có hiệu lực, mang đến nhiều thay đổi mang tính bước ngoặt, đặc biệt là quy định cho phép bác sĩ kê đơn thuốc tối đa 90 ngày đối với một số bệnh mạn tính. Thay đổi này được kỳ vọng sẽ giảm gánh nặng đi lại, chi phí cho người bệnh, đồng thời nâng cao hiệu quả điều trị liên tục, ổn định.

Siết chặt kê đơn thuốc ngoại trú: Những điều người bệnh cần biết!

Khỏe – Đẹp

Siết chặt kê đơn thuốc ngoại trú: Những điều người bệnh cần biết!

Thông tư 26/2025/TT-BYT vừa ban hành không chỉ bổ sung các trường thông tin bắt buộc trong đơn thuốc mà còn đưa ra quy định cụ thể về liều dùng, số lần dùng thuốc trong ngày, thời gian sử dụng. Thay đổi kỹ thuật nhỏ nhưng lại có ý nghĩa lớn với người bệnh. Thông tư cũng đặt ra nguyên tắc kê đơn chặt chẽ, tăng cường kiểm soát thuốc kháng sinh, thuốc gây nghiện – tiến tới thực hiện kê đơn điện tử toàn quốc từ năm 2026.

Tử vong do mắc liên cầu lợn ở Huế, ngành Y tế khuyến cáo khẩn

Khỏe – Đẹp

Tử vong do mắc liên cầu lợn ở Huế, ngành Y tế khuyến cáo khẩn

Bệnh viện Trung ương Huế (thành phố Huế) cho biết, từ đầu năm đến nay, đơn vị đã ghi nhận điều trị cho 30 trường hợp dương tính với liên cầu khuẩn Streptococcus Suis (liên cầu lợn). Trong đó, có trường hợp nhập viện trong tình trạng nặng, đã tử vong, ngành Y tế đưa ra khuyến cáo khẩn.

Y tế biển đảo: Hành trình nhân văn của sự phối hợp liên ngành

Sống an toàn

Y tế biển đảo: Hành trình nhân văn của sự phối hợp liên ngành

Giữa biển trời mênh mông của Tổ quốc, nơi đầu sóng ngọn gió, hành trình chăm sóc sức khỏe cho cán bộ, chiến sĩ và nhân dân không chỉ là nhiệm vụ chuyên môn mà còn là biểu tượng của sự đoàn kết, trách nhiệm và sẻ chia. Trong ba năm qua, sự phối hợp giữa Công đoàn Y tế Việt Nam và Bộ Tư lệnh Vùng 4 Hải quân đã viết nên một hành trình nhân văn sâu sắc, kết nối trái tim của những người chiến sĩ áo trắng và lực lượng Hải quân, cùng hướng đến mục tiêu chung: bảo vệ sức khỏe và sự bình yên nơi biển đảo thiêng liêng của Tổ quốc.

Thu hồi hàng loạt sản phẩm mỹ phẩm, người tiêu dùng cẩn trọng

Sống an toàn

Thu hồi hàng loạt sản phẩm mỹ phẩm, người tiêu dùng cẩn trọng

Cục Quản lý Dược (Bộ Y tế) thông báo đình chỉ lưu hành, thu hồi hàng loạt sản phẩm lưu thông có công thức không đúng như hồ sơ đã công bố, và thông tin nhà sản xuất trên nhãn không đúng như hồ sơ công bố.

Chân gà không rõ nguồn gốc và nguy hiểm tiềm ẩn cho sức khỏe

Khỏe – Đẹp

Chân gà không rõ nguồn gốc và nguy hiểm tiềm ẩn cho sức khỏe

Cơ quan chức năng thành phố Huế vừa phát hiện và tiến hành tiêu hủy 1 tấn chân gà không rõ nguồn gốc tại một hộ kinh doanh. Điều đáng lo ngại, nếu số chân gà này bị tuồn ra thị trường, người tiêu dùng có thể đối mặt với nguy cơ sử dụng thực phẩm bẩn, không rõ nguồn gốc, tiềm ẩn nhiều nguy hiểm đến sức khỏe.

Sán dây dài 3 mét “tấn công” đường ruột vì thói quen ăn rau sống

Sống an toàn

Sán dây dài 3 mét “tấn công” đường ruột vì thói quen ăn rau sống

Một trường hợp nhiễm sán dây dài tới hơn 3 mét vừa được ghi nhận tại Bệnh viện Bệnh Nhiệt đới Trung ương, gióng lên hồi chuông cảnh báo về những thói quen ăn uống tiềm ẩn nhiều rủi ro đối với sức khỏe.