Thứ tư 19/11/2025 05:47
Đăng nhập
Menu

CUỘC SỐNG AN TOÀN - CẨM NANG CỦA BẠN

Chuyên trang của Tạp chí Điện tử Lao động và công đoàn
Lao động Công đoàn Nhịp sống Doanh nghiệp
  • Sống an toàn
    • Khỏe – Đẹp
    • Bệnh nghề nghiệp
  • Doanh nghiệp an toàn
  • Pháp luật lao động
  • Sáng kiến an toàn
  • An sinh - Xã hội
Sống an toàn Khỏe – Đẹp Bệnh nghề nghiệp
Doanh nghiệp an toàn
Pháp luật lao động
Sáng kiến an toàn
An sinh - Xã hội
Tags:

Bệnh viện Bạch Mai

10 kết quả

3 lời khuyên quan trọng cho bệnh nhân tim mạch trong mùa cúm

14/02/2025 15:12

3 lời khuyên quan trọng cho bệnh nhân tim mạch trong mùa cúm

Cúm mùa không chỉ gây khó chịu mà còn có thể dẫn đến những biến chứng nghiêm trọng cho bệnh nhân tim mạch. PGS.TS Nguyễn Thị Thu Hoài, Viện trưởng Viện Tim mạch Quốc gia, đưa ra ba lời khuyên quan trọng cho bệnh nhân tim mạch trong mùa cúm. Đó là gì?

Phân biệt cảm lạnh và cúm mùa để kịp thời điều trị

09/02/2025 16:16

Phân biệt cảm lạnh và cúm mùa để kịp thời điều trị

Cảm lạnh là cơ thể bị nhiễm gió lạnh, mưa lạnh thường gây mệt mỏi nhẹ vài ngày tự khỏi. Trong khi đó, cúm là bệnh do virus cúm gây ra các triệu chứng đường hô hấp như ho, sốt, ngạt mũi, hắt hơi, khó thở,... và có thể dẫn tới biến chứng nguy hiểm cần phải

Đột quỵ gia tăng đáng lo ngại dịp Tết: Chuyên gia cảnh báo gì?

04/02/2025 14:54

Đột quỵ gia tăng đáng lo ngại dịp Tết: Chuyên gia cảnh báo gì?

Dịp Tết vừa qua, các bệnh viện đã chứng kiến sự gia tăng đáng báo động về số ca cấp cứu và đột quỵ, đặc biệt ở người trẻ. Theo thống kê từ Bệnh viện Bạch Mai, số ca đột quỵ nhập viện cấp cứu tăng tới 30-40% so với ngày thường. Đâu là nguyên nhân dẫn đến t

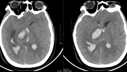
Dị dạng mạch máu não – Kẻ giết người thầm lặng

18/01/2025 10:47

Dị dạng mạch máu não – Kẻ giết người thầm lặng

Nhiều bệnh nhân ở tuổi còn rất trẻ bị tử vong hoặc để lại di chứng nặng nề khi chỉ xuất hiện một số cơn đau đầu. Nguyên nhân là do dị dạng mạch máu não.

Cảnh báo: Sốt cao, mê sảng do chuột cắn

13/01/2025 17:34

Cảnh báo: Sốt cao, mê sảng do chuột cắn

Bạn đã bao giờ nghĩ rằng một vết cắn nhỏ của chuột lại có thể gây ra hậu quả nghiêm trọng đến mức phải nhập viện cấp cứu? Câu chuyện của vợ chồng ông P. và bà V. ở Hải Dương dưới đây sẽ khiến bạn phải suy nghĩ lại.

2/4 nạn nhân nặng nhất vụ phóng hỏa tại quán cà phê đã cải thiện tích cực

22/12/2024 08:59

2/4 nạn nhân nặng nhất vụ phóng hỏa tại quán cà phê đã cải thiện tích cực

4 nạn nhân vụ phóng hỏa tại quán cà phê tđều tiên lượng nặng, nhiều nguy cơ diễn biến khó lường và có thể tử vong cao. 2/4 nạn nhân đã cải thiện tích cực.

Lao động thường xuyên tiếp xúc bùn đất: Cảnh giác với "vi khuẩn ăn thịt người" gây bệnh Whitmore

19/09/2024 09:46

Lao động thường xuyên tiếp xúc bùn đất: Cảnh giác với "vi khuẩn ăn thịt người" gây bệnh Whitmore

Bệnh Whitmore do vi khuẩn tồn tại trong môi trường, xảy ra ở những người thường xuyên tiếp xúc với môi trường bùn, đất, nước như: công nhân xây dựng, người nạo vét cống rãnh, người làm vườn, nông dân…

Tập huấn an toàn trong thực hiện quy trình đặt và lưu catheter tĩnh mạch ngoại vi

01/05/2023 20:05

Tập huấn an toàn trong thực hiện quy trình đặt và lưu catheter tĩnh mạch ngoại vi

Bệnh viện Bạch Mai đã tổ chức đào tạo về an toàn trong thực hiện quy trình đặt và lưu catheter tĩnh mạch ngoại vi cho đội ngũ điều dưỡng.

Người phụ nữ mất toàn bộ da đầu khi đang khoan giếng

01/05/2023 12:42

Người phụ nữ mất toàn bộ da đầu khi đang khoan giếng

Một người phụ nữ đang phụ chồng khoan giếng thì tóc bị cuốn vào máy khoan. Toàn bộ da trán và da đầu bị lột đứt rời hộp sọ.

Phấn đấu trở thành người phụ nữ thành đạt, người mẹ, người vợ hạnh phúc

11/03/2023 04:48

Phấn đấu trở thành người phụ nữ thành đạt, người mẹ, người vợ hạnh phúc

Đó là lời chúc tốt đẹp, cũng là sự ghi nhận, biểu dương của PGS.TS Đào Xuân Cơ - Giám đốc Bệnh viện Bạch Mai đối với các nữ đoàn viên, cán bộ, viên chức (CBVC) của Bệnh viện tại Lễ mít tinh kỷ niệm 113 năm Ngày quốc tế Phụ nữ (8/3/1910 - 8/3/2023) và 1983

    Trước         Sau    

Đọc nhiều

17:36

Cuộc thi trực tuyến: Cầu nối luật pháp và quan hệ lao động hài hòa

08:30

Cuộc thi Luật Công đoàn và BHXH 2024: Những tâm tư, trăn trở và niềm tin gửi gắm qua từng bài luận

16:43

Giá trị từ Cuộc thi tìm hiểu Luật Công đoàn và BHXH: Hiểu luật để vững tin và an tâm cống hiến

18:27

Giỏi việc nước – Đảm việc nhà: Dấu ấn phụ nữ ngành Đường sắt Việt Nam trong hành trình đổi mới

21:05

Hơn 467.600 người tham gia Cuộc thi trực tuyến tìm hiểu về Luật Công đoàn và Luật BHXH năm 2024

19:58

"Chìa khóa vàng" cho sức khỏe phụ nữ trung niên

19:49

“Việt Nam 2000”: Cam kết hành động vì một tương lai không còn trẻ em tử vong do tai nạn giao thông

15:14

ILO kêu gọi hành động vì một mức “lương đủ sống” cho người lao động châu Á

18:50

Nhức nhối mang thai ở tuổi vị thành niên

14:08

Người thầy thuốc chỉ ngừng nghiên cứu khi nào “ngừng hơi thở”

CUỘC SỐNG AN TOÀN - CẨM NANG CỦA BẠN

Chuyên trang của tạp chí Lao động và công đoàn

Giấy phép xuất bản số 31/GP-CBC cấp ngày 19/5/2022

© Bản quyền thuộc về Tạp chí Lao động và Công đoàn, cơ quan ngôn luận của Tổng Liên đoàn Lao động Việt Nam. Cấm sao chép dưới mọi hình thức nếu không có sự chấp thuận bằng văn bản.

Tòa soạn: Số 65 Quán Sứ, phường Trần Hưng Đạo, quận Hoàn Kiếm, Thành phố Hà Nội.

Hotline: 0867 472 699

Điện thoại: 0243 736 6787. Fax: 0243 733 0191

Email: cuocsongantoan99@gmail.com

Theo dõi Cuộc sống an toàn trên

Độc giả gửi bài Liên lạc quảng cáo Xem phiên bản di động
Based on MasterCMS - Ultimate edition 2024 V2.9