Thứ sáu 22/05/2026 14:48

Rửa xe, người đàn ông bị vòi xịt nước trúng mắt, đứt chân mống, đau nhức suốt 4 tháng

Đó là tình trạng của bệnh nhân nam C.V.Đ., 41 tuổi ngụ TP Thủ Đức đến khám tại Bệnh viện Chợ Rẫy trong tình trạng mắt nhìn mờ, lóa và cảm giác nặng mắt.

Bệnh nhân Đ. cho biết, 4 tháng trước, trong lúc bơm rửa xe thì bị vòi xịt nước văng trúng vào mắt trái làm mắt đau nhức, nhìn mờ. Bệnh nhân được đưa vào cấp cứu tại một bệnh viện ở địa phương lân cận và được chẩn đoán đứt chân mống mắt, tăng nhãn áp, xuất huyết tiền phòng (hiện tượng tích tụ máu ở khoang trước của mắt) sau chấn thương đụng dập.

Sẻ chia khó khăn với người công nhân bị chấn thương sọ não Hà Nội: Hơn 15.500 người nhận bảo hiểm thất nghiệp trong 4 tháng đầu năm

Bệnh nhân được chỉ định điều trị ngoại trú và có giảm đau nhức nhưng thị lực vẫn chưa cải thiện nhiều. Do tình trạng kéo dài nên bệnh nhân đã đến khám tại Bệnh viện Chợ Rẫy.

Tại Bệnh viện Chợ Rẫy, qua khám lâm sàng và các kết quả cận lâm sàng cho thấy bệnh nhân bị đứt chân mống rộng, tăng nhãn áp, đục lệch T3 sau chấn thương đụng dập.

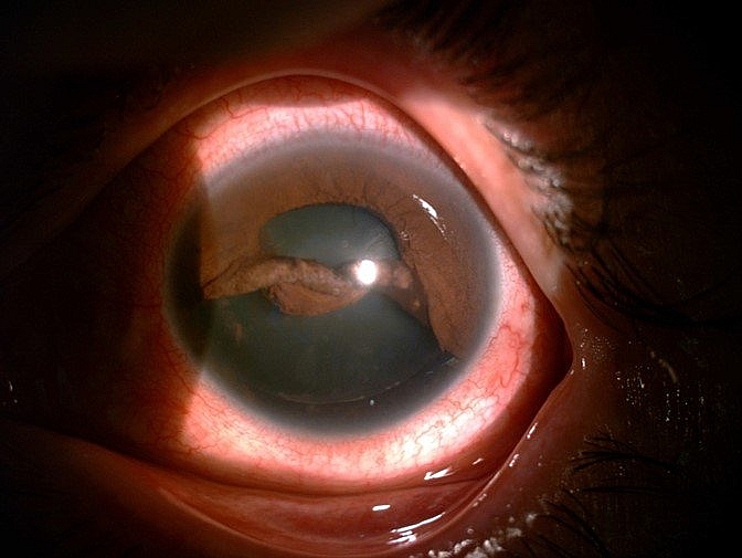
Tình trạng mắt của bệnh nhân trước khi nhập viện. Ảnh: BVCC
Tình trạng mắt của bệnh nhân trước khi nhập viện. Ảnh: BVCC
Tình trạng mắt của bệnh nhân sau khi phẫu thuật. Ảnh: BVCC
Tình trạng mắt của bệnh nhân sau khi phẫu thuật. Ảnh: BVCC

BS CK2 Ngô Văn Hồng – Trưởng khoa Mắt, Bệnh viện Chợ Rẫy cho biết, chấn thương đụng dập nhãn cầu là chấn thương do vật tù tác động vào nhãn cầu với lực mạnh và nhanh, thường gặp trong các tai nạn sinh hoạt như khui rượu champange, khui nắp bia, đứt dây thun ràng xe, tennis, cầu lông, bị đánh bằng nắm đấm, hoặc té ngã… làm ảnh hưởng về mặt chức năng thị giác như: giảm thị lực, song thị, chói sáng, sợ ánh sáng, ảnh hưởng về mặt thẩm mỹ như đa đồng tử, đồng tử lạc chỗ.

Đứt chân mống mắt là tổn thương thường gặp trong chấn thương đụng dập nhãn cầu, chấn thương nhãn cầu xuyên thấu và các phẫu thuật nội nhãn khác.

Theo một số báo cáo của Hội nhãn khoa Hoa Kỳ, đứt chân mống mắt chiếm tỉ lệ 9,3%-14% trong chấn thương đụng dập nhãn cầu và khoảng 39,9% các trường hợp chấn thương mắt nói chung. Đứt chân mống mắt có thể gây ra các vấn đề về chức năng và thẩm mỹ cho bệnh nhân. Các triệu chứng cơ năng như lóa và nhìn đôi, ảnh hưởng về mặt thẩm mỹ như đa đồng tử, đồng tử lạc chỗ…

Cũng theo bác sĩ Ngô Văn Hồng, bệnh nhân C.V.Đ. là một trong những trường hợp tổn thương nặng, phức tạp đứt chân mống mắt rộng gần 6 cung giờ ở phía nửa dưới, mống mắt bị đứt cuộn dính vào nhau và vào mặt trước thủy tinh thể, kết hợp với đục và bán lệch T3, tăng nhãn áp. Ê-kíp phẫu thuật đã xử trí đồng thời các tổn thương trong suốt 1 giờ đồng hồ phẫu thuật. Đây được xem là trường hợp tổn thương đứt chân mống mắt do chấn thương đụng dập nhãn cầu nặng nhất được điều trị thành công tại khoa Mắt của Bệnh viện Chợ Rẫy.

Sức khỏe của nữ công nhân bị đứt lìa cánh tay đã ổn định Sức khỏe của nữ công nhân bị đứt lìa cánh tay đã ổn định

Như thông tin trước đó, khoảng 5 giờ 40, sáng ngày 3/8, tài xế Vi Văn Ái (SN 1977, ở Ao Nhãn, Tân Hoa, Lục ...

Người đàn ông ở TP.HCM mất gần 2 tỷ đồng khi nghe cuộc gọi từ số lạ Người đàn ông ở TP.HCM mất gần 2 tỷ đồng khi nghe cuộc gọi từ số lạ

Sau khi nghe cuộc điện thoại từ số lạ xưng là cán bộ công an, người đàn ông ở quận 12, TP.HCM, mất gần 2 ...

Nghi vấn nổ súng sau va chạm giao thông: Người nhà nạn nhân tìm thấy 4 vỏ đạn Nghi vấn nổ súng sau va chạm giao thông: Người nhà nạn nhân tìm thấy 4 vỏ đạn

Liên quan đến vụ xô xát xảy ra trong đêm giữa 2 gia đình ở xã Hoà Lộc, huyện Hậu Lộc (Thanh Hoá) khiến 1 ...

https://suckhoedoisong.vn/

Tin cùng chuyên mục

Nguy cơ bùng phát nhiều dịch bệnh mùa Thu - Đông, cần đặt ý thức phòng ngừa lên hàng đầu

Khỏe – Đẹp

Nguy cơ bùng phát nhiều dịch bệnh mùa Thu - Đông, cần đặt ý thức phòng ngừa lên hàng đầu

Trước những thay đổi của thời tiết khi chuyển mùa, Cục Phòng bệnh (Bộ Y tế) đã cảnh báo về nguy cơ bùng phát nhiều dịch bệnh truyền nhiễm nguy hiểm trong giai đoạn Thu - Đông.

Lần đầu tiên ứng dụng máy bảo quản LifePort trong ghép thận, dấu mốc mới của ngành Y

Sống an toàn

Lần đầu tiên ứng dụng máy bảo quản LifePort trong ghép thận, dấu mốc mới của ngành Y

Bệnh viện Trung ương Huế (thuộc Bộ Y tế) ghi dấu mốc mới trong lịch sử y học Việt Nam khi thực hiện thành công ca ghép thận đầu tiên trong nước sử dụng công nghệ bảo quản thận liên tục có hạ nhiệt – LifePort Hypothermic Machine Perfusion (HMP).

Bệnh dại có xu hướng tăng, WHO hỗ trợ khẩn 9.000 liều vaccine cho 2 tỉnh nguy cơ cao tại Việt Nam

Sống an toàn

Bệnh dại có xu hướng tăng, WHO hỗ trợ khẩn 9.000 liều vaccine cho 2 tỉnh nguy cơ cao tại Việt Nam

Tổ chức Y tế Thế giới (WHO) vừa trao tặng 9.000 liều vaccine phòng dại cho 2 tỉnh có nguy cơ cao là Phú Thọ và Tuyên Quang. Gói hỗ trợ này hướng đến bảo vệ các nhóm yếu thế như trẻ em và đồng bào dân tộc thiểu số.

Rửa tay - Một hành động đơn giản giúp phòng ngừa những đe dọa lớn

Khỏe – Đẹp

Rửa tay - Một hành động đơn giản giúp phòng ngừa những đe dọa lớn

Ngày Rửa tay Thế giới nhắc chúng ta rằng một hành động đơn giản - rửa tay bằng xà phòng - có thể cứu sống, bảo vệ trẻ em và củng cố cộng đồng.

"Chìa khóa vàng" cho sức khỏe phụ nữ trung niên

Khỏe – Đẹp

"Chìa khóa vàng" cho sức khỏe phụ nữ trung niên

“Thay đổi lối sống để hỗ trợ hành trình mãn kinh của bạn” là chủ đề của Ngày Mãn kinh Thế giới năm 2025.

Đọc thêm

Nhức nhối mang thai ở tuổi vị thành niên

Sống an toàn

Nhức nhối mang thai ở tuổi vị thành niên

Hiện nay, mang thai ở tuổi vị thành niên vẫn là một bài toán nhức nhối tại Việt Nam, gây hệ lụy cho sức khỏe cá nhân và cản trở sự phát triển bền vững. Nhân Ngày Tránh thai Thế giới 26/9, việc trao quyền lựa chọn cho người trẻ được nhấn mạnh như một giải pháp then chốt để các em có thể tự quyết định con đường tương lai của mình.

Tổng đài quốc gia 111: Lá chắn mới trong cuộc chiến chống mua bán người

An sinh - Xã hội

Tổng đài quốc gia 111: Lá chắn mới trong cuộc chiến chống mua bán người

Tổng đài điện thoại quốc gia về phòng, chống mua bán người với đầu số 111 vừa chính thức được khai trương. Đây là bước tiến quan trọng, khẳng định quyết tâm của Việt Nam trong việc bảo vệ con người, đồng thời mở ra một kênh hỗ trợ toàn diện, miễn phí và hoạt động 24/7 cho các nạn nhân.

Báo động đái tháo đường thai kỳ: Cứ 5 thai phụ có 1 người mắc, nguy cơ di truyền sang thế hệ sau

Sống an toàn

Báo động đái tháo đường thai kỳ: Cứ 5 thai phụ có 1 người mắc, nguy cơ di truyền sang thế hệ sau

Với thực trạng đáng báo động cứ 5 thai phụ tại Việt Nam có 1 người mắc bệnh, đái tháo đường thai kỳ không chỉ là mối đe dọa sức khỏe trước mắt mà còn tạo ra một vòng lặp nguy cơ di truyền sang các thế hệ tương lai. Trước tình hình này, Bộ Y tế đã ban hành “Hướng dẫn quốc gia về sàng lọc và quản lý đái tháo đường thai kỳ”.

Ghép tủy đồng loại cho trẻ từ mẹ ruột có bất đồng nhóm máu lần đầu tại Việt Nam

Khỏe – Đẹp

Ghép tủy đồng loại cho trẻ từ mẹ ruột có bất đồng nhóm máu lần đầu tại Việt Nam

Bệnh viện Trung ương Huế vừa công bố ca ghép tủy Thalassemia thứ 11 thành công. Đây là lần đầu tiên ở Việt Nam thực hiện ca ghép tủy đồng loại với nguồn tủy từ mẹ ruột, có bất đồng nhóm máu.

Bộ Y tế cảnh báo: Bệnh tả bùng phát phức tạp trên toàn cầu, tỷ lệ tử vong tăng 46%

Khỏe – Đẹp

Bộ Y tế cảnh báo: Bệnh tả bùng phát phức tạp trên toàn cầu, tỷ lệ tử vong tăng 46%

Dù Việt Nam đã duy trì thành công 12 năm không ghi nhận ca bệnh tả, nhưng trước diễn biến dịch bệnh ngày càng phức tạp trên thế giới với số ca tử vong tăng vọt, Bộ Y tế đã đưa ra cảnh báo về nguy cơ bệnh xâm nhập và nhấn mạnh tầm quan trọng của các biện pháp phòng ngừa chủ động trong cộng đồng.

Cứu sống bé 2 tuổi ngưng tim do đuối nước, làm gì để phòng đuối nước cho trẻ?

Khỏe – Đẹp

Cứu sống bé 2 tuổi ngưng tim do đuối nước, làm gì để phòng đuối nước cho trẻ?

Sau khi tiếp nhận bệnh nhi 2 tuổi bị tai nạn đuối nước ngưng tim tại nhà, các bác sĩ đặt nội khí quản, thở máy, sử dụng kháng sinh, vận mạch, đặc biệt áp dụng kỹ thuật hạ thân nhiệt chỉ huy giúp trẻ hồi sinh kỳ diệu.

Việt Nam đạt tỷ lệ bao phủ vắc xin cao hơn mức trung bình toàn cầu

Khỏe – Đẹp

Việt Nam đạt tỷ lệ bao phủ vắc xin cao hơn mức trung bình toàn cầu

Việt Nam đã đạt được nhiều tiến bộ đáng kể trong công tác bảo vệ trẻ em khỏi các bệnh phòng ngừa được bằng vắc xin, theo số liệu ước tính mới nhất về tỷ lệ tiêm chủng toàn quốc của Tổ chức Y tế Thế giới (WHO) và UNICEF (WUENIC) công bố mới đây.

Dịch tả lợn châu Phi bùng phát ở Quảng Trị, cách chọn thịt lợn an toàn

Khỏe – Đẹp

Dịch tả lợn châu Phi bùng phát ở Quảng Trị, cách chọn thịt lợn an toàn

Dịch tả lợn châu Phi đã bùng phát tại 11 xã ở tỉnh Quảng Trị, buộc tiêu hủy hơn 1.750 con lợn và có nguy cơ lan rộng hơn. Đây cũng là nỗi ám ảnh cho người tiêu dùng, vậy dấu hiệu nhận biết thịt lợn bệnh như thế nào?

Tự tiêm thuốc giảm đau, người đàn ông bị liệt tứ chi, suy hô hấp

Khỏe – Đẹp

Tự tiêm thuốc giảm đau, người đàn ông bị liệt tứ chi, suy hô hấp

Bị đau mỏi cổ - vai gáy, ông Đ.Đ.B, 70 tuổi (Quảng Ninh) tự tiêm thuốc giảm đau tại một phòng khám tư nhân. Sau tiêm, tình trạng không cải thiện mà ngày càng nặng: yếu chi, mất cảm giác, khó thở rồi liệt hoàn toàn từ cổ trở xuống, buộc phải chuyển tuyến khẩn cấp.

Ngăn chặn sốt xuất huyết bùng phát: Mỗi người dân là một mắt xích phòng dịch

Khỏe – Đẹp

Ngăn chặn sốt xuất huyết bùng phát: Mỗi người dân là một mắt xích phòng dịch

Dù số ca mắc sốt xuất huyết từ đầu năm 2025 (hơn 32.000 ca) hiện thấp hơn cùng kỳ, các chuyên gia cảnh báo không thể chủ quan. Nguy cơ một đợt dịch bùng phát vẫn rất cao, do chu kỳ dịch đang đến gần và thời tiết hiện tại rất thuận lợi cho muỗi truyền bệnh sinh sôi.

"Bom" xe điện mùa nắng nóng: Chuyên gia cảnh báo rủi ro và cách phòng tránh

Sống an toàn

"Bom" xe điện mùa nắng nóng: Chuyên gia cảnh báo rủi ro và cách phòng tránh

Mùa hè đến, "bom" xe điện tiềm ẩn nguy cơ bùng nổ, đặc biệt trong điều kiện nắng nóng khắc nghiệt. Thực tế, mới đây đã có nhiều vụ cháy nổ xe điện xảy ra cả trong nhà và ngoài trời, đã khiến người dân rất hoang mang và lo sợ. Vì vậy, việc sử dụng xe điện thế nào cho an toàn luôn là điều mà nhiều bậc phụ huynh cũng rất quan tâm.

Mỗi tháng cho trẻ bú mẹ hoàn toàn: Lợi ích tương đương trồng 300.000 cây xanh

An sinh - Xã hội

Mỗi tháng cho trẻ bú mẹ hoàn toàn: Lợi ích tương đương trồng 300.000 cây xanh

Cục Bà mẹ và trẻ em (Bộ Y tế) vừa có công văn hướng dẫn triển khai Tuần lễ thế giới Nuôi con bằng sữa mẹ năm 2025. Năm nay, sự kiện mang đến một thông điệp đột phá: lựa chọn nuôi con bằng sữa mẹ không chỉ là nền tảng sức khỏe cho thế hệ tương lai mà còn là một hành động có sức ảnh hưởng lớn đến môi trường, tương đương với việc trồng cả một cánh rừng.

Kê đơn thuốc dài ngày cần cá thể hóa, không máy móc

Khỏe – Đẹp

Kê đơn thuốc dài ngày cần cá thể hóa, không máy móc

Thông tư 26/2025/TT-BYT do Bộ Y tế ban hành quy định chi tiết việc kê đơn thuốc điều trị ngoại trú đối với người có thẻ bảo hiểm y tế. Những điểm mới như cho phép kê đơn tối đa 90 ngày, đơn thuốc chỉ có giá trị 5 ngày tại nhà thuốc ngoài bệnh viện, hay cơ chế thống nhất đơn khi khám nhiều chuyên khoa… đang đặt ra yêu cầu mới cho cả bác sĩ và người bệnh.

Năm điều cần nghiêm túc thực hiện khi sử dụng thuốc kê đơn 90 ngày

Khỏe – Đẹp

Năm điều cần nghiêm túc thực hiện khi sử dụng thuốc kê đơn 90 ngày

Thông tư 26/2025/TT-BYT do Bộ Y tế ban hành ngày 30/6/2025 quy định chi tiết việc kê đơn thuốc điều trị ngoại trú đối với người có thẻ bảo hiểm y tế đã chính thức có hiệu lực, mang đến nhiều thay đổi mang tính bước ngoặt, đặc biệt là quy định cho phép bác sĩ kê đơn thuốc tối đa 90 ngày đối với một số bệnh mạn tính. Thay đổi này được kỳ vọng sẽ giảm gánh nặng đi lại, chi phí cho người bệnh, đồng thời nâng cao hiệu quả điều trị liên tục, ổn định.

Siết chặt kê đơn thuốc ngoại trú: Những điều người bệnh cần biết!

Khỏe – Đẹp

Siết chặt kê đơn thuốc ngoại trú: Những điều người bệnh cần biết!

Thông tư 26/2025/TT-BYT vừa ban hành không chỉ bổ sung các trường thông tin bắt buộc trong đơn thuốc mà còn đưa ra quy định cụ thể về liều dùng, số lần dùng thuốc trong ngày, thời gian sử dụng. Thay đổi kỹ thuật nhỏ nhưng lại có ý nghĩa lớn với người bệnh. Thông tư cũng đặt ra nguyên tắc kê đơn chặt chẽ, tăng cường kiểm soát thuốc kháng sinh, thuốc gây nghiện – tiến tới thực hiện kê đơn điện tử toàn quốc từ năm 2026.

Tử vong do mắc liên cầu lợn ở Huế, ngành Y tế khuyến cáo khẩn

Khỏe – Đẹp

Tử vong do mắc liên cầu lợn ở Huế, ngành Y tế khuyến cáo khẩn

Bệnh viện Trung ương Huế (thành phố Huế) cho biết, từ đầu năm đến nay, đơn vị đã ghi nhận điều trị cho 30 trường hợp dương tính với liên cầu khuẩn Streptococcus Suis (liên cầu lợn). Trong đó, có trường hợp nhập viện trong tình trạng nặng, đã tử vong, ngành Y tế đưa ra khuyến cáo khẩn.

Y tế biển đảo: Hành trình nhân văn của sự phối hợp liên ngành

Sống an toàn

Y tế biển đảo: Hành trình nhân văn của sự phối hợp liên ngành

Giữa biển trời mênh mông của Tổ quốc, nơi đầu sóng ngọn gió, hành trình chăm sóc sức khỏe cho cán bộ, chiến sĩ và nhân dân không chỉ là nhiệm vụ chuyên môn mà còn là biểu tượng của sự đoàn kết, trách nhiệm và sẻ chia. Trong ba năm qua, sự phối hợp giữa Công đoàn Y tế Việt Nam và Bộ Tư lệnh Vùng 4 Hải quân đã viết nên một hành trình nhân văn sâu sắc, kết nối trái tim của những người chiến sĩ áo trắng và lực lượng Hải quân, cùng hướng đến mục tiêu chung: bảo vệ sức khỏe và sự bình yên nơi biển đảo thiêng liêng của Tổ quốc.

Thu hồi hàng loạt sản phẩm mỹ phẩm, người tiêu dùng cẩn trọng

Sống an toàn

Thu hồi hàng loạt sản phẩm mỹ phẩm, người tiêu dùng cẩn trọng

Cục Quản lý Dược (Bộ Y tế) thông báo đình chỉ lưu hành, thu hồi hàng loạt sản phẩm lưu thông có công thức không đúng như hồ sơ đã công bố, và thông tin nhà sản xuất trên nhãn không đúng như hồ sơ công bố.

Chân gà không rõ nguồn gốc và nguy hiểm tiềm ẩn cho sức khỏe

Khỏe – Đẹp

Chân gà không rõ nguồn gốc và nguy hiểm tiềm ẩn cho sức khỏe

Cơ quan chức năng thành phố Huế vừa phát hiện và tiến hành tiêu hủy 1 tấn chân gà không rõ nguồn gốc tại một hộ kinh doanh. Điều đáng lo ngại, nếu số chân gà này bị tuồn ra thị trường, người tiêu dùng có thể đối mặt với nguy cơ sử dụng thực phẩm bẩn, không rõ nguồn gốc, tiềm ẩn nhiều nguy hiểm đến sức khỏe.

Sán dây dài 3 mét “tấn công” đường ruột vì thói quen ăn rau sống

Sống an toàn

Sán dây dài 3 mét “tấn công” đường ruột vì thói quen ăn rau sống

Một trường hợp nhiễm sán dây dài tới hơn 3 mét vừa được ghi nhận tại Bệnh viện Bệnh Nhiệt đới Trung ương, gióng lên hồi chuông cảnh báo về những thói quen ăn uống tiềm ẩn nhiều rủi ro đối với sức khỏe.