Thứ sáu 03/04/2026 14:26

Cảnh báo nguy hiểm từ thuốc giảm cân chứa Sibutramin trên mạng xã hội

Một bệnh nhân nữ bị nhiễm độc chất Sibutramin, tổn thương não nặng do uống thuốc, thực phẩm chức năng giảm cân không rõ nguồn gốc mua trên Tiktok.
Giảm cân thần tốc bằng thuốc đón tết: Cẩn thận… lê lết

Thực trạng tràn lan thuốc giảm cân trên mạng xã hội

Trong vài năm trở lại đây, việc mua bán thực phẩm chức năng giảm cân trên TikTok, Facebook và các nền tảng mạng xã hội khác đã trở nên phổ biến.

Các video quảng cáo tràn ngập với những lời hứa hẹn như "giảm 7kg trong 7 ngày", "giảm cân không cần tập luyện", thu hút hàng nghìn lượt xem và đặt hàng. Tuy nhiên, phía sau những lời mời gọi hấp dẫn này là nguy cơ sức khỏe nghiêm trọng.

Theo khảo sát, nhiều sản phẩm giảm cân trên mạng không có nhãn phụ bằng tiếng Việt, không rõ nguồn gốc xuất xứ, không được kiểm định chất lượng. Người tiêu dùng dễ dàng bị thu hút bởi những hình ảnh trước – sau ấn tượng, những chia sẻ thành công từ người dùng ảo, nhưng không thể kiểm chứng được độ an toàn của sản phẩm.

Chị N.T. (30 tuổi, Hà Nội), một người tiêu dùng từng sử dụng thực phẩm chức năng giảm cân mua trên TikTok, chia sẻ: "Ban đầu, tôi tin vào những video giới thiệu sản phẩm. Nhưng sau khi sử dụng, tôi thấy đau bụng, mệt mỏi, thậm chí có loại thuốc tôi mua không có thông tin nguồn gốc, khiến tôi rất lo lắng."

Cảnh báo nguy hiểm từ thuốc giảm cân chứa Sibutramin trên mạng xã hội
Tràn lan bán thực phẩm chức năng, thuốc giảm cân trên mạng xã hội. (Ảnh cắt từ màn hình FB)

Một điểm đáng chú ý là phần lớn các video quảng cáo trên TikTok đều thiếu thông tin rõ ràng về nguồn gốc và thành phần của sản phẩm. Thay vào đó, các clip chỉ tập trung vào những câu chuyện thành công, hình ảnh trước và sau khi giảm cân.

Người tiêu dùng cần tỉnh táo hơn khi lựa chọn sản phẩm, tìm hiểu kỹ thông tin và chỉ nên sử dụng các sản phẩm được chứng nhận, có nguồn gốc rõ ràng.

Mạng xã hội, đặc biệt là TikTok, có thể là nơi để tìm kiếm thông tin, nhưng cũng cần cảnh giác trước những lời quảng cáo quá mức và thiếu minh bạch.

Nguy kịch vì thuốc giảm cân chứa Sibutramin

Mới đây, Trung tâm Chống độc, Bệnh viện Bạch Mai đã tiếp nhận một bệnh nhân nữ, 21 tuổi (Hà Nội) trong tình trạng bị nhiễm độc chất Sibutramin, tổn thương não nặng.

Gia đình bệnh nhân cho biết, cô gái hoàn toàn khỏe mạnh trước khi uống loại thuốc giảm cân không có nhãn phụ tiếng Việt trong hơn một tháng.

Vào ngày 21/2, sau khi vẫn nói chuyện bình thường vào buổi chiều, đến tối cùng ngày, cô rơi vào trạng thái hôn mê, bất tỉnh, phải nhập viện cấp cứu.

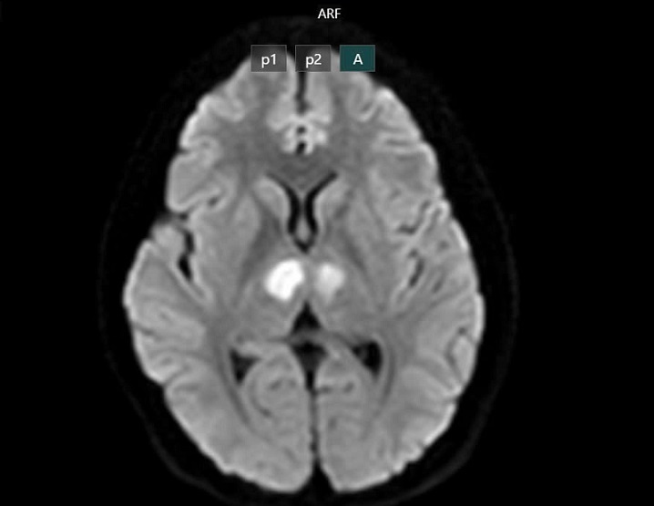
Kết quả chụp MRI cho thấy bệnh nhân bị tổn thương vùng đồi thị hai bên. Kết quả kiểm nghiệm mẫu thuốc cho thấy có chứa Sibutramin, một chất đã bị cấm lưu hành tại Việt Nam từ năm 2011 do nguy cơ gây đột quỵ, rối loạn tim mạch và tử vong.

Cảnh báo nguy hiểm từ thuốc giảm cân chứa Sibutramin trên mạng xã hội
Phim chụp cho thấy não bệnh nhân bị tổn thương vùng đồi thị hai bên. (Ảnh: BV Bạch Mai)

Nữ bệnh nhân cho biết, chị mua thuốc giảm cân này trên Tiktok, đã uống liên tục được hơn 1 tháng, với liều lượng mỗi ngày 1 viên. Sau thời gian uống thuốc và nhịn ăn, bệnh nhân giảm được 4-5kg. Đặc biệt, bệnh nhân cũng không thấy có biểu hiện mệt mỏi, lo lắng, hồi hộp, run chân tay, trống ngực sau khi uống thuốc.

Theo quan sát, lọ thuốc giảm cân của bệnh nhân sử dụng có chữ tiếng nước ngoài, không có nhãn phụ tiếng Việt. Trên lọ thuốc có nội dung “7 ngày giảm 7kg” bằng Tiếng Anh.

Sibutramin làm tăng nguy cơ các tai biến về đột quỵ và bệnh lý tim mạch

TS. BS Nguyễn Trung Nguyên, Giám đốc Trung tâm Chống độc, Bệnh viện Bạch Mai cho biết: Sibutramin trước đây là một thuốc dùng đường uống để điều trị béo phì. Tuy nhiên qua quá trình sử dụng tại nhiều nước đã có các báo cáo về những trường hợp ngộ độc khi sử dụng thuốc này để giảm cân, bao gồm các trường hợp nặng và tử vong.

Đã có nghiên cứu lớn chính thức cho thấy khi dùng thuốc này, tác hại, nguy cơ nhiều hơn so với lợi ích có thể mang lại. Đặc biệt, thuốc làm tăng nguy cơ các tai biến về đột quỵ và bệnh lý tim mạch. Do vậy, tại Mỹ, Châu Âu đã ngừng sử dụng làm thuốc giảm cân.

Cảnh báo nguy hiểm từ thuốc giảm cân chứa Sibutramin trên mạng xã hội
Thuốc giảm cân người bệnh đang sử dụng. (Ảnh: BV Bạch Mai)

Tại Việt Nam, từ năm 2010, Cục Quản lý Dược (Bộ Y tế) đã ban hành công văn về việc ngưng cấp phép nhập khẩu nguyên liệu sibutramin. Ngày 14/04/2011, Cục Quản lý Dược cũng đã có công văn đình chỉ lưu hành trên toàn quốc các thuốc có chứa hoạt chất sibutramin và thu hồi toàn bộ các thuốc có chứa hoạt chất này. Do có tác dụng không mong muốn, Cục cũng đã rút số đăng ký của tất cả thuốc có chứa hoạt chất sibutramin.

“Sibutramin thuộc danh mục chất cấm sử dụng trong sản xuất, kinh doanh thực phẩm bảo vệ sức khỏe", theo Thông tư số 10/2021/TT-BYT.

“Tại Trung tâm Chống độc Bệnh viện Bạch Mai cũng đã từng tiếp nhận các bệnh nhân ngộ độc thực phẩm chức năng, các loại cà phê giảm cân,… do có chứa sibutramin. Đã có bệnh nhân bị hôn mê, co giật, tổn thương não. Trung tâm chống độc từng có các thông báo tới các cơ quan chức năng và chia sẻ khuyến cáo với cộng đồng về vấn đề này. Sibutramin là chất có nguy cơ độc tính rất cao, cấu trúc phân tử của sibutramin giống với ma túy amphetamine. Rõ ràng đây là chất nguy hiểm”, bác sỹ Nguyên chia sẻ.

Cũng theo các bác sĩ, Trung tâm chống độc còn từng tiếp nhận các bệnh nhân ngộ độc thực phẩm chức năng giảm cân có chứa nhiều chất khác như Phenolphthalein, cafein liều rất cao, synephrine,…

Giảm cân an toàn thế nào?

TS.BS Nguyên khuyến cáo, để giảm cân, người dân nên đi khám hoặc có lời khuyên trực tiếp từ bác sỹ hướng dẫn, đánh giá tình trạng và biện pháp cụ thể với từng người. Cách thức phổ biến và an toàn nhất vẫn là điều chỉnh chế độ ăn uống và tăng cường vận động thể lực.

Bên cạnh đó, các loại thực phẩm chức năng hiện nay ở Việt Nam đang được quảng cáo và hiểu sai rất nhiều. Khi cần mua bất cứ sản phẩm gì, đặc biệt dùng trên cơ thể người cần chọn các sản phẩm được sản xuất bởi các công ty được cấp phép và đáp ứng tiêu chuẩn của nhà nước, việc mua bán cũng cần trực tiếp qua nhà phân phối chính thức, có hóa đơn, đóng thuế rõ ràng.

Cho tới hiện nay, để đảm bảo an toàn và có tác dụng mong muốn, với tất cả các sản phẩm thực phẩm chức năng và thuốc thì người dân vẫn không nên mua trên mạng xã hội, qua internet hay điện thoại.

TS.BS Nguyễn Trung Nguyên, cho biết: các thực phẩm chức năng quảng cáo để giảm cân thường chứa rất nhiều chất và thường chia thành các nhóm sau:

1. Các chất kích thích như các chất cấm sibutramine, cafein, thậm chí bột từ tuyến giáp động vật… Cơ chế hoạt động bắt các cơ quan nội tạng của cơ thể, đặc biệt là tim mạch, đốt cháy mỡ, tiêu thụ năng lượng mà không phải tăng vận động về thể lực. Điều này là phản khoa học và rất nguy hiểm, gây biến cố với tim mạch, não….,

2. Các chất gây chán ăn, ví dụ phenylpropanolamine (trong số các chất này cũng có nhiều chất có rủi ro và độc tính cao), và

3. Các chất độn để khi uống vào nở ra trong đường tiêu hóa tạo cảm giác no. Hầu hết các sản phẩm này đều không công bố hay ghi rõ thành phần các chất này trên nhãn mác, thường quảng cáo với lời lẽ quá mức, không có kiểm soát.

Video: BSCK2 Trần Ngọc Lưu Phương - Giảng viên Đại học Y dược TPHCM chia sẻ phương pháp giảm cân khoa học.

10 cách giảm cân bền vững mà không cần ăn kiêng kham khổ 10 cách giảm cân bền vững mà không cần ăn kiêng kham khổ

Để giảm cân bền vững, tốt nhất bạn nên giảm cân từ từ. Và nhiều chuyên gia cho biết bạn có thể làm được điều ...

Giảm cân thần tốc bằng thuốc đón tết: Cẩn thận… lê lết Giảm cân thần tốc bằng thuốc đón tết: Cẩn thận… lê lết

Trước tết, nhu cầu giảm béo, làm đẹp tăng cao không chỉ riêng đối với chị em phụ nữ mà cánh đàn ông cũng quan ...

Mô hình điều trị giảm cân, giảm mỡ toàn diện đầu tiên tại Việt Nam Mô hình điều trị giảm cân, giảm mỡ toàn diện đầu tiên tại Việt Nam

Ngày 18/9, hệ thống BVĐK Tâm Anh chính thức ra mắt và đưa vào hoạt động Trung tâm Kiểm soát cân nặng và Điều trị ...

Tin cùng chuyên mục

Nguy cơ bùng phát nhiều dịch bệnh mùa Thu - Đông, cần đặt ý thức phòng ngừa lên hàng đầu

Khỏe – Đẹp

Nguy cơ bùng phát nhiều dịch bệnh mùa Thu - Đông, cần đặt ý thức phòng ngừa lên hàng đầu

Trước những thay đổi của thời tiết khi chuyển mùa, Cục Phòng bệnh (Bộ Y tế) đã cảnh báo về nguy cơ bùng phát nhiều dịch bệnh truyền nhiễm nguy hiểm trong giai đoạn Thu - Đông.

Rửa tay - Một hành động đơn giản giúp phòng ngừa những đe dọa lớn

Khỏe – Đẹp

Rửa tay - Một hành động đơn giản giúp phòng ngừa những đe dọa lớn

Ngày Rửa tay Thế giới nhắc chúng ta rằng một hành động đơn giản - rửa tay bằng xà phòng - có thể cứu sống, bảo vệ trẻ em và củng cố cộng đồng.

"Chìa khóa vàng" cho sức khỏe phụ nữ trung niên

Khỏe – Đẹp

"Chìa khóa vàng" cho sức khỏe phụ nữ trung niên

“Thay đổi lối sống để hỗ trợ hành trình mãn kinh của bạn” là chủ đề của Ngày Mãn kinh Thế giới năm 2025.

Báo động đái tháo đường thai kỳ: Cứ 5 thai phụ có 1 người mắc, nguy cơ di truyền sang thế hệ sau

Sống an toàn

Báo động đái tháo đường thai kỳ: Cứ 5 thai phụ có 1 người mắc, nguy cơ di truyền sang thế hệ sau

Với thực trạng đáng báo động cứ 5 thai phụ tại Việt Nam có 1 người mắc bệnh, đái tháo đường thai kỳ không chỉ là mối đe dọa sức khỏe trước mắt mà còn tạo ra một vòng lặp nguy cơ di truyền sang các thế hệ tương lai. Trước tình hình này, Bộ Y tế đã ban hành “Hướng dẫn quốc gia về sàng lọc và quản lý đái tháo đường thai kỳ”.

Ghép tủy đồng loại cho trẻ từ mẹ ruột có bất đồng nhóm máu lần đầu tại Việt Nam

Khỏe – Đẹp

Ghép tủy đồng loại cho trẻ từ mẹ ruột có bất đồng nhóm máu lần đầu tại Việt Nam

Bệnh viện Trung ương Huế vừa công bố ca ghép tủy Thalassemia thứ 11 thành công. Đây là lần đầu tiên ở Việt Nam thực hiện ca ghép tủy đồng loại với nguồn tủy từ mẹ ruột, có bất đồng nhóm máu.

Đọc thêm

Bộ Y tế cảnh báo: Bệnh tả bùng phát phức tạp trên toàn cầu, tỷ lệ tử vong tăng 46%

Khỏe – Đẹp

Bộ Y tế cảnh báo: Bệnh tả bùng phát phức tạp trên toàn cầu, tỷ lệ tử vong tăng 46%

Dù Việt Nam đã duy trì thành công 12 năm không ghi nhận ca bệnh tả, nhưng trước diễn biến dịch bệnh ngày càng phức tạp trên thế giới với số ca tử vong tăng vọt, Bộ Y tế đã đưa ra cảnh báo về nguy cơ bệnh xâm nhập và nhấn mạnh tầm quan trọng của các biện pháp phòng ngừa chủ động trong cộng đồng.

Cứu sống bé 2 tuổi ngưng tim do đuối nước, làm gì để phòng đuối nước cho trẻ?

Khỏe – Đẹp

Cứu sống bé 2 tuổi ngưng tim do đuối nước, làm gì để phòng đuối nước cho trẻ?

Sau khi tiếp nhận bệnh nhi 2 tuổi bị tai nạn đuối nước ngưng tim tại nhà, các bác sĩ đặt nội khí quản, thở máy, sử dụng kháng sinh, vận mạch, đặc biệt áp dụng kỹ thuật hạ thân nhiệt chỉ huy giúp trẻ hồi sinh kỳ diệu.

Việt Nam đạt tỷ lệ bao phủ vắc xin cao hơn mức trung bình toàn cầu

Khỏe – Đẹp

Việt Nam đạt tỷ lệ bao phủ vắc xin cao hơn mức trung bình toàn cầu

Việt Nam đã đạt được nhiều tiến bộ đáng kể trong công tác bảo vệ trẻ em khỏi các bệnh phòng ngừa được bằng vắc xin, theo số liệu ước tính mới nhất về tỷ lệ tiêm chủng toàn quốc của Tổ chức Y tế Thế giới (WHO) và UNICEF (WUENIC) công bố mới đây.

Dịch tả lợn châu Phi bùng phát ở Quảng Trị, cách chọn thịt lợn an toàn

Khỏe – Đẹp

Dịch tả lợn châu Phi bùng phát ở Quảng Trị, cách chọn thịt lợn an toàn

Dịch tả lợn châu Phi đã bùng phát tại 11 xã ở tỉnh Quảng Trị, buộc tiêu hủy hơn 1.750 con lợn và có nguy cơ lan rộng hơn. Đây cũng là nỗi ám ảnh cho người tiêu dùng, vậy dấu hiệu nhận biết thịt lợn bệnh như thế nào?

Tự tiêm thuốc giảm đau, người đàn ông bị liệt tứ chi, suy hô hấp

Khỏe – Đẹp

Tự tiêm thuốc giảm đau, người đàn ông bị liệt tứ chi, suy hô hấp

Bị đau mỏi cổ - vai gáy, ông Đ.Đ.B, 70 tuổi (Quảng Ninh) tự tiêm thuốc giảm đau tại một phòng khám tư nhân. Sau tiêm, tình trạng không cải thiện mà ngày càng nặng: yếu chi, mất cảm giác, khó thở rồi liệt hoàn toàn từ cổ trở xuống, buộc phải chuyển tuyến khẩn cấp.

Ngăn chặn sốt xuất huyết bùng phát: Mỗi người dân là một mắt xích phòng dịch

Khỏe – Đẹp

Ngăn chặn sốt xuất huyết bùng phát: Mỗi người dân là một mắt xích phòng dịch

Dù số ca mắc sốt xuất huyết từ đầu năm 2025 (hơn 32.000 ca) hiện thấp hơn cùng kỳ, các chuyên gia cảnh báo không thể chủ quan. Nguy cơ một đợt dịch bùng phát vẫn rất cao, do chu kỳ dịch đang đến gần và thời tiết hiện tại rất thuận lợi cho muỗi truyền bệnh sinh sôi.

Mỗi tháng cho trẻ bú mẹ hoàn toàn: Lợi ích tương đương trồng 300.000 cây xanh

An sinh - Xã hội

Mỗi tháng cho trẻ bú mẹ hoàn toàn: Lợi ích tương đương trồng 300.000 cây xanh

Cục Bà mẹ và trẻ em (Bộ Y tế) vừa có công văn hướng dẫn triển khai Tuần lễ thế giới Nuôi con bằng sữa mẹ năm 2025. Năm nay, sự kiện mang đến một thông điệp đột phá: lựa chọn nuôi con bằng sữa mẹ không chỉ là nền tảng sức khỏe cho thế hệ tương lai mà còn là một hành động có sức ảnh hưởng lớn đến môi trường, tương đương với việc trồng cả một cánh rừng.

Kê đơn thuốc dài ngày cần cá thể hóa, không máy móc

Khỏe – Đẹp

Kê đơn thuốc dài ngày cần cá thể hóa, không máy móc

Thông tư 26/2025/TT-BYT do Bộ Y tế ban hành quy định chi tiết việc kê đơn thuốc điều trị ngoại trú đối với người có thẻ bảo hiểm y tế. Những điểm mới như cho phép kê đơn tối đa 90 ngày, đơn thuốc chỉ có giá trị 5 ngày tại nhà thuốc ngoài bệnh viện, hay cơ chế thống nhất đơn khi khám nhiều chuyên khoa… đang đặt ra yêu cầu mới cho cả bác sĩ và người bệnh.

Năm điều cần nghiêm túc thực hiện khi sử dụng thuốc kê đơn 90 ngày

Khỏe – Đẹp

Năm điều cần nghiêm túc thực hiện khi sử dụng thuốc kê đơn 90 ngày

Thông tư 26/2025/TT-BYT do Bộ Y tế ban hành ngày 30/6/2025 quy định chi tiết việc kê đơn thuốc điều trị ngoại trú đối với người có thẻ bảo hiểm y tế đã chính thức có hiệu lực, mang đến nhiều thay đổi mang tính bước ngoặt, đặc biệt là quy định cho phép bác sĩ kê đơn thuốc tối đa 90 ngày đối với một số bệnh mạn tính. Thay đổi này được kỳ vọng sẽ giảm gánh nặng đi lại, chi phí cho người bệnh, đồng thời nâng cao hiệu quả điều trị liên tục, ổn định.

Siết chặt kê đơn thuốc ngoại trú: Những điều người bệnh cần biết!

Khỏe – Đẹp

Siết chặt kê đơn thuốc ngoại trú: Những điều người bệnh cần biết!

Thông tư 26/2025/TT-BYT vừa ban hành không chỉ bổ sung các trường thông tin bắt buộc trong đơn thuốc mà còn đưa ra quy định cụ thể về liều dùng, số lần dùng thuốc trong ngày, thời gian sử dụng. Thay đổi kỹ thuật nhỏ nhưng lại có ý nghĩa lớn với người bệnh. Thông tư cũng đặt ra nguyên tắc kê đơn chặt chẽ, tăng cường kiểm soát thuốc kháng sinh, thuốc gây nghiện – tiến tới thực hiện kê đơn điện tử toàn quốc từ năm 2026.

Tử vong do mắc liên cầu lợn ở Huế, ngành Y tế khuyến cáo khẩn

Khỏe – Đẹp

Tử vong do mắc liên cầu lợn ở Huế, ngành Y tế khuyến cáo khẩn

Bệnh viện Trung ương Huế (thành phố Huế) cho biết, từ đầu năm đến nay, đơn vị đã ghi nhận điều trị cho 30 trường hợp dương tính với liên cầu khuẩn Streptococcus Suis (liên cầu lợn). Trong đó, có trường hợp nhập viện trong tình trạng nặng, đã tử vong, ngành Y tế đưa ra khuyến cáo khẩn.

Chân gà không rõ nguồn gốc và nguy hiểm tiềm ẩn cho sức khỏe

Khỏe – Đẹp

Chân gà không rõ nguồn gốc và nguy hiểm tiềm ẩn cho sức khỏe

Cơ quan chức năng thành phố Huế vừa phát hiện và tiến hành tiêu hủy 1 tấn chân gà không rõ nguồn gốc tại một hộ kinh doanh. Điều đáng lo ngại, nếu số chân gà này bị tuồn ra thị trường, người tiêu dùng có thể đối mặt với nguy cơ sử dụng thực phẩm bẩn, không rõ nguồn gốc, tiềm ẩn nhiều nguy hiểm đến sức khỏe.

Sán dây dài 3 mét “tấn công” đường ruột vì thói quen ăn rau sống

Sống an toàn

Sán dây dài 3 mét “tấn công” đường ruột vì thói quen ăn rau sống

Một trường hợp nhiễm sán dây dài tới hơn 3 mét vừa được ghi nhận tại Bệnh viện Bệnh Nhiệt đới Trung ương, gióng lên hồi chuông cảnh báo về những thói quen ăn uống tiềm ẩn nhiều rủi ro đối với sức khỏe.

Đặt niềm tin sai chỗ, gánh chịu biến chứng nghiêm trọng khi thẩm mỹ tại spa

Khỏe – Đẹp

Đặt niềm tin sai chỗ, gánh chịu biến chứng nghiêm trọng khi thẩm mỹ tại spa

Những mong muốn về một vẻ ngoài hoàn hảo đang đẩy nhiều người tìm đến phẫu thuật thẩm mỹ như một giải pháp nhanh chóng. Tuy nhiên, đằng sau ánh hào quang của những lời quảng cáo hấp dẫn là bóng tối của những hiểm họa khôn lường, khi không ít người đặt niềm tin sai chỗ vào các cơ sở thẩm mỹ không an toàn, kém chất lượng.

Nặn mụn – Thói quen tưởng vô hại nhưng có thể gây hậu quả nghiêm trọng

Sống an toàn

Nặn mụn – Thói quen tưởng vô hại nhưng có thể gây hậu quả nghiêm trọng

Mới đây nhất, Bệnh viện Bệnh Nhiệt đới Trung ương tiếp nhận nữ bệnh nhân D.T.L (32 tuổi, ở Mê Linh, Hà Nội), nhập viện trong tình trạng viêm mô bào nghiêm trọng, thậm chí đối diện với nguy cơ nhiễm trùng huyết. Câu chuyện này là hồi chuông báo động dành cho những người lao động nữ, những người thường xuyên đối mặt với áp lực công việc và ít có thời gian chăm sóc bản thân.

Mùa nắng nóng cực đoan: Cẩm nang toàn diện để tránh ngộ độc thực phẩm

Khỏe – Đẹp

Mùa nắng nóng cực đoan: Cẩm nang toàn diện để tránh ngộ độc thực phẩm

Nắng nóng cực đoan mùa hè là điều kiện lý tưởng cho vi khuẩn sinh sôi, biến nhiều loại đồ ăn thành “cái bẫy” đối với sức khỏe. Từ những bữa tiệc ngoài trời đến các quán ăn vỉa hè, nguy cơ ngộ độc thực phẩm luôn tiềm ẩn. Nắm vững các nguyên tắc phòng ngừa là chìa khóa để bảo vệ sức khỏe cho cả gia đình trong thời điểm này.

Nắng nóng cực đoan – “Sát thủ thầm lặng” đối với người lao động

Khỏe – Đẹp

Nắng nóng cực đoan – “Sát thủ thầm lặng” đối với người lao động

Mùa Hè với những đợt nắng nóng khắc nghiệt kéo dài không chỉ gây mệt mỏi, giảm năng suất lao động mà còn là “sát thủ thầm lặng” đối với hàng triệu người lao động đang ngày ngày làm việc dưới trời nắng gắt hoặc trong các nhà xưởng nóng bức.

Nấm "bẩn" bủa vây: Chuyên gia chỉ cách nhận biết nấm sạch, nấm hóa chất

Khỏe – Đẹp

Nấm "bẩn" bủa vây: Chuyên gia chỉ cách nhận biết nấm sạch, nấm hóa chất

Nấm, với hương vị độc đáo và giá trị dinh dưỡng cao, ngày càng trở thành một phần không thể thiếu trong bữa ăn của nhiều gia đình. Tuy nhiên, đằng sau sự phổ biến này là những nỗi lo về an toàn thực phẩm. Thị trường nấm đang bị "bủa vây" bởi nhiều vấn đề nhức nhối: nấm không rõ nguồn gốc, nấm nhập khẩu từ Trung Quốc đội lốt hàng Việt, nấm chứa chất bảo quản độc hại, thậm chí cả nấm độc chết người.

Phẫu thuật thay khớp háng, xương đùi bằng Megaprosthesis thành công đầu tiên ở miền Trung

Khỏe – Đẹp

Phẫu thuật thay khớp háng, xương đùi bằng Megaprosthesis thành công đầu tiên ở miền Trung

Bệnh viện Trung ương Huế vừa thực hiện thành công ca phẫu thuật thay khớp háng và xương đùi bằng Megaprosthesis. Kỹ thuật này được xem là giải pháp tối ưu cho những trường hợp tổn thương nặng mà trước đây có nguy cơ cao phải cắt cụt chi.

Giữa thời tiết cực đoan, sĩ tử cần làm gì để giữ sức khỏe trong kỳ thi Tốt nghiệp THPT 2025?

Khỏe – Đẹp

Giữa thời tiết cực đoan, sĩ tử cần làm gì để giữ sức khỏe trong kỳ thi Tốt nghiệp THPT 2025?

Kỳ thi Tốt nghiệp Trung học phổ thông 2025 diễn ra từ ngày 25 đến 28/6, trùng với thời điểm thời tiết trên cả nước biến động mạnh: ban ngày nắng nóng diện rộng, chiều tối mưa dông bất chợt. Trong bối cảnh này, sức khỏe thể chất và tinh thần của gần một triệu sĩ tử trở thành mối quan tâm lớn không chỉ của phụ huynh mà cả ngành giáo dục và y tế.